What Is Tooth Decalcification?

If you are concerned about tooth decalcification please contact us to discuss your treatment options.
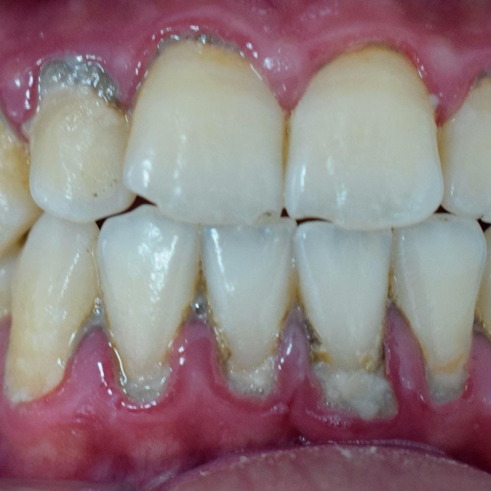
Tooth decalcification occurs when vital minerals are lost from your tooth enamel, such as calcium and phosphorus. Considered an early stage of gum disease, decalcification can be identified by white, chalky spots on the teeth. Let’s discuss the causes of this condition and the corrective treatments available.
What is tooth decalcification?
The enamel, which is the outer layer of a tooth, plays a vital role in the health of your smile, shielding it from daily wear and tear. Decalcification weakens this protective layer and makes it more susceptible to issues like tooth decay and cavities, while also causing intense sensitivity. As mentioned earlier, the condition appears as white spots on the teeth. Many patients with decalcification experience yellow discolouration too, leading to a loss of confidence in their smile.
What are the causes of tooth decalcification?
Many factors contribute to tooth decalcification, including:
- Bad oral hygiene: When you don’t brush your teeth and floss, plaque is left lingering on the teeth. If not removed, this plaque turns into tartar, a hardened film of bacteria that causes tooth decay.
- Diet: Food and drinks that are highly acidic or packed full of sugar can lead to tooth decalcification. This is because they create a build-up of plaque which, in turn, erodes the enamel.
- Orthodontic treatments: Namely fixed braces. If you don’t effectively brush your teeth while undergoing orthodontic treatment, the plaque that has formed around the wires and brackets may leave behind white decalcification marks.
- Certain medications: Many different types of medicines and health treatments are recognised to contribute to dry mouth, including antihistamines and radiation therapy.
- Calcium and phosphorus deficiencies: A lack of minerals in the mouth is the root cause of decalcification, weakening the enamel and leading to a plethora of dental issues.
- Dry mouth: Also known as xerostomia, this condition occurs when there isn’t enough saliva present in the mouth to keep it wet. Saliva minimises the risk of decalcification as it washes away the bacteria in your mouth. This in turn prevents the formation of plaque, a sticky substance that eats away at enamel.
How to prevent decalcification of the teeth
One of the best ways you are able to prevent dental decalcification is by making sure you are brushing your teeth twice a day for two minutes. Floss once a day too to make sure any bacteria and food particles are removed from between the teeth. Oral hygiene is key! Alongside this, you should be visiting your dentist one or two times per year for your routine check-up so they can keep an eye on your oral health and identify any potential issues. We also recommend having two deep cleans with a hygienist annually – this will remove plaque and help to keep your enamel healthy and strong. Calcium and phosphorus need to be present to minimise the risk of tooth decalcification. Consider adding foods that are rich in these minerals to your diet (think green, leafy vegetables, dairy, fish), and consult with your doctor about any suitable supplements. Additionally, try to avoid consuming sugary and acidic food and drinks as much as possible.
Tooth decalcification treatment options
So, can tooth decalcification be corrected? With the following procedures, yes!
- Dental crown, root canal or Nanofill Composite Bonding®
By incorporating fluoride-infused toothpastes and mouth rinses into your everyday routine, you are able to remineraliseyour weakened enamel. - Composite fillings
If your tooth decalcification has led to cavities, a filling may be required. This involves removing the decayed portion of the tooth and sealing it with composite. - Dental crowns
A crown is a great way to fortify teeth damaged by years of dental wear and tear. Part of the enamel is removed before a crown is placed on top. - Tooth extraction
The effects of tooth decalcification sometimes results in the need for tooth extraction. Please note that this is only for severe cases. - Nanofill Composite Bonding®
Patients who are self-conscious of the white marks on their teeth can choose Nanofill™ to disguise these spots and achieve a bright, uniform smile. - Teeth whitening
Similar to Nanofill™, teeth whitening will cosmetically hide tooth decalcification, rather than treat it. However, there is a risk that the appearance of your white spots will become amplified. - Porcelain veneers
This procedure transforms the size, shape and colour of the teeth with an ultra-aesthetic veneer. It is also an excellent treatment for enamel erosion. - Hygienist appointments
A hygienist appointment is essentially a deep clean that removes plaque and tartar, two things that are very harmful to the tooth enamel.
Tooth decalcification vs dental fluorosis
These two terms are commonly confused. While they both appear as white spots and marks on the teeth, there is a key difference between the conditions – their cause. Tooth decalcification is mainly the result of a loss of minerals in the enamel. On the other hand, dental fluorosis is caused by an overexposure to fluoride.
FAQs
Got more questions about tooth decalcification? We are here to answer them.
What is the difference between tooth decalcification and tooth demineralisation?
There is no difference – demineralisation is simply another way to describe the loss of minerals in your teeth.
What is enamel hypoplasia?
Often confused with decalcification of the teeth, this condition happens when your enamel doesn’t form properly and is thin, weak or absent from the tooth altogether.
What happens if I don’t treat tooth decalcification?
Numerous health issues may arise, including severe tooth decay, gum disease, cavities, further discolouration, toothache, tooth sensitivity, visible pits in your teeth and painful jagged edges.
How common is tooth decalcification?
It is a common dental condition, especially for patients undergoing orthodontic treatment. You can be assured knowing that you are not the only one with decalcification!
What other vitamins and minerals are essential for your oral health?
Alongside calcium and phosphorus, there are other vitamins and minerals that help to keep your mouth in the best condition possible.
- Vitamin D: Helps your body to absorb calcium and maintain strong bones. Vitamin D is found in oily fish, egg yolks and cheese.
- Vitamin A: Helps to strengthen the enamel and supports gum health. Vitamin A is found in kale, spinach and dairy products.
- Vitamin C: Helps to keep gum tissues healthy and strong. Vitamin C is found in citrus fruits, broccoli and peppers.
- Potassium: Helps to neutralise acid content in the mouth. Potassium is found in apricot, avocados and leafy greens.
Conclusion: Tooth decalcification not only has an impact on your oral health, but also your self-confidence. Ranging from dental crowns to composite fillings, Yorkshire Dental Suite provide a wide range of treatments to address your tooth decalcification. Book your consultation today.